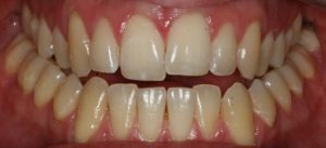
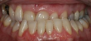
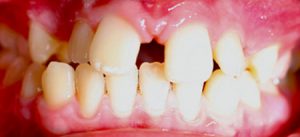
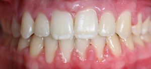
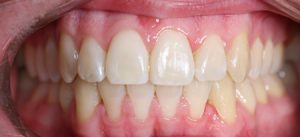
Our gallery
Wondering about the results of treatment? See for yourself below some before and after images of patients we’ve treated in the past.
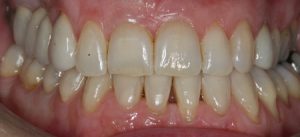
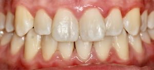
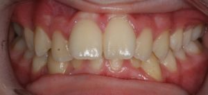
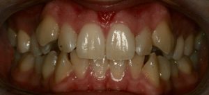
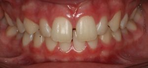
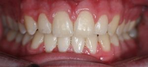
Our gallery
Wondering about the results of treatment? See for yourself below some before and after images of patients we’ve treated in the past.

















